02.10.25 Die kleinen Racker machen es weiterhin gut, alles läuft ganz unkompliziert. Hannah darf nachher wieder eine kleine Runde mit auf den Spaziergang. Die Welpen haben ihre vorläufigen Rufnamen erhalten. Die Einzelvorstellung findet ihr unter der Wurf Präsentation.

30.09.25 Wir hatten eine ruhige Nacht. Hannah versorgt die kleinen sehr liebevoll und die 4 sind alle fit und munter. Alle haben heute morgen bereits zugenommen. Sie sind sehr besonders gezeichnet, mit wenig weiß. Der letzte Rüde hat eine weiße Blesse und ein weißes Schnäuzchen. Die Einzelvorstellung der Welpen folgt in den nächsten Tagen. Auf dem Foto links die zwei Rüden und rechts die zwei Mädchen. Danke euch fürs Daumen drücken!!

29.09.25 10.00 Uhr 60. Tag die Nacht war unruhig,  Hannah hat jetzt deutlich Wehen. Wir waren nochmal eine kleine Runde laufen. Hannah liegt jetzt in der Wurfbox und wir warten gespannt auf den Start der Geburt. 

 

12:38 Uhr Hündin black tri 280 g "Pearl"

14:25 Uhr Rüde blue merle 390 g "Piet"

14:46 Uhr Hündin blue merle 360 g "Pünktchen"

15:27 Uhr  Rüde blue merle 315 g "Pirat"

 

Es ist bei 4 Welpen geblieben. Hannah's kleines Bäuchlein hat es schon vermuten lassen. 

Hannah sorgt sich rührend um die kleinen, sie war draußen zum lösen und hat eine gute Portion Futter bekommen. Die Kleinen sind  besonders und wunderschön gezeichnet, sie sind sehr Instinkt sicher und lassen es sich an der Milchbar schmecken. Jetzt brauchen alle etwas Erholung. Einzelvorstellung folgt.

28.09.25 Hannah hat das Fressen eingestellt,  Wehen hat sie aber offensichtlich noch nicht. Wir hoffen auf noch ein bisschen Schlaf kommende Nacht. 

25.09.25 Hier ist alles ruhig. Hannah liegt schon viel in der Wurfbox und genießt es. Das Gesäuge ist jetzt schon stark ausgebildet und man kann die kleinen Racker deutlich durch die Bauchdecke spüren.

22.09.25 Tag 53 , Hannah geht es ausgezeichnet. Nachts schläft sie bereits bei uns im Schlafzimmer in der Wurfbox. Sie kennt das ja bereits und hat sich sehr gefreut mit ins Schlafzimmer zu dürfen.  Am Samstag hat sie ihren 5. Geburtstag gefeiert und die Sonne genossen. Sie liebt es auf dem Hof zu liegen. Sobald es Neuigkeiten gibt melde ich mich.

13.09.25 44. Tag Hannah geht es weiterhin super. Ab nächste Woche darf sie mit ins Schlafzimmer und wenn sie möchte schonmal in der Wurfbox schlafen.

04.09.25 Tag 35. Ich liebe den Herbst....die Spaziergänge mit den Hunden, bei diesen Temperaturen sind so schön. Hannah ist top fit, ansehen kann man ihr diesmal die Trächtigkeit noch nicht so deutlich aber man kann das Bäuchlein fühlen. 

30.08.25 Halbzeit, heute ist der 30. Tag der Trächtigkeit. Hannah bekommt jetzt drei kleine Portionen Futter über den Tag verteilt. Ganz langsam verändert sich ihr Körper, wirklich ansehen tut man ihr die Trächtigkeit aber noch nicht. Gebrochen hat sie nicht mehr, sie ist top fit, läuft gern und jagt Mäuse.

25.08.25 juhu.....Hannah ist tragend. Wir freuen uns riesig. Um den 29. September erwarten wir ihre Welpen.

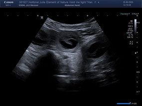
16.08.25 Hannah ist extrem verschmust. Sie nutzt jede Gelegenheit um hinter mir auf die Couch zu klettern und gestreichelt zu werden. Ein paar Tage müssen wir uns noch gedulden bis zum Ultraschall.

31.07.25 Hannah wurde von Mitch gedeckt. Drückt die Daumen für ein paar kleine sportliche Racker Ende September.

29.07.25 Der Progesteron steigt, heute waren wir wieder in Gießen. Vermutlich wird Hannah morgen oder übermorgen gedeckt.

23.07.25 Die Genehmigung für den Doppelwurf ist durch. Hannah wird voraussichtlich Ende nächster Woche gedeckt.

19.07.25 Hannah ist 8 Wochen früher wie geplant in die Hitze gekommen. Anscheinend stimmen sich die Schwestern jetzt untereinander ab. Da wir auch für diesen Wurf schon ein paar Anfragen haben, werden wir einen Antrag auf Doppelwurf beim CASD stellen, damit wir den Wurf durchführen können. Ich halte euch hier auf dem laufenden.